DR. FROGGY

Žiarivý úsmev našich detí

Nácvik čistenia zubov v materských školách

Dr.Froggy

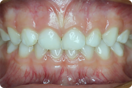
Aké zuby by ste dopriali svojmu dieťaťu?

Ideálne by vaše dieťa malo mať takéto zuby:

obrázok ideálne detské zuby
obrázok ideálne detské zuby

Ak si dieťa v tomto veku neosvojí návyk správnej ústnej hygieny, neskôr to môže dopadnúť aj takto!

obrázok detské zuby
obrázok detské zuby

Pečatenie zubov u detí je tiež jednou možnosťou prevencie zubného kazu. Pečatidlo je plastický náter nanesený najčastejšie na žuvacie plochy zadných zubov. Zabráni baktériám a potrave vniknúť do rýh a jamiek zubov.

detské zuby - pečatenie

Čo je našim cieľom?

Praktický nácvik správnej techniky čistenia zubov

Inštruktáž čistenia zubov 1
Inštruktáž čistenia zubov 2
Inštruktáž čistenia zubov 3
Inštruktáž čistenia zubov 4
Inštruktáž čistenia zubov 5
Inštruktáž čistenia zubov 6
Inštruktáž čistenia zubov 7
Inštruktáž čistenia zubov 8
Inštruktáž čistenia zubov 9
Inštruktáž čistenia zubov 10
Inštruktáž čistenia zubov 11
Inštruktáž čistenia zubov 12

Dôležitosť dočisťovania zubov v tomto veku rodičom

Čistenie zubov 1
Čistenie zubov 2
Čistenie zubov 3
Čistenie zubov 4

Správna výživa ako prevencia zubného kazu

Správna výživa
Nesprávna výživa

Čisté zuby sa nekazia

Našim cieľom je, aby sa vaše dieťa nebálo zubného lekára