Röntgenová technológia je dnes neoddeliteľnou súčasťou vstupného vyšetrenia a systému pravidelných kontrol v ambulancii zubného lekára, pričom pacienta zaťažuje len minimálne žiarenie.
Aký význam má röntgen?
Korene a vnútorné štruktúry zubný lekár dokáže vidieť len pomocou röntgenu. Preto pred začatím liečby zubár potrebuje röntgen, na základe ktorého posúdi stav chrupu a získa presný obraz o polohe zubov. Príprava tejto snímky je vo väčšine prípadov nevyhnutná, pretože je to jediný spôsob, ako stanoviť presnú diagnózu a určiť, aká liečba je potrebná. Podáva komplexný pohľad na zuby, kostné tkanivá, v ktorých sú zuby osadené a zároveň má dôležitý význam pri odhaľovaní rakovinových ochorení v okolí zubov. Pomocou röntgenu dokáže zubár skontrolovať medzizubné kazy, proces endodontickej liečby (vypĺňanie koreňových kanálikov), a je nevyhnutný tiež pri implantácii, pri trhaní zubov a v čeľustnej ortopédii.

S akým RTG prístrojom sa môžete stretnúť na klinike AXIS-DENT?
Disponujeme panoramatickým röntgenom – OPG, teleröntgenom – TELE RTG a malým zubným röntgenom – IO RTG.
Za pojmom OPG sa skrýva panoramatická snímka hornej aj dolnej čeľusti s kĺbom a prínosovými dutinami. Na ňom môže zubár spozorovať napríklad kazy pod plombami, zápaly a zistí, kde sa nachádzajú neprerezané zuby. Okrem toho možno odhaliť možné príčiny paradontózy ako aj krvácania z ďasien.
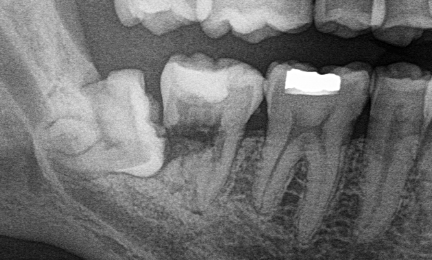
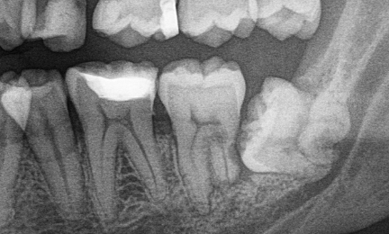
Bite-wing, alebo po slovensky aj záhryzová snímka, vie skvele odhaliť kazy medzi zubami alebo pod plombami, ktoré inak sa nedajú v ústach vidieť.
Na klinike AXIS-DENT poskytujeme aj jedinečnú 3D diagnostiku CBCT. V porovnaní s klasickým CT má výrazne zníženú radiačnú záťaž a poskytuje oveľa viac informácií a teda aj odhalených problémov oproti panoramatickému röntgenu. CBCT diagnostiku vykonávame na špičkovom prístroji Orthophos SL.

Je RTG zubov bezpečný?
RTG lúče sú elektromagnetickým vlnením, ktoré dokáže prejsť tkanivami. Dnes používané zubné röntgeny pracujú s nízkou dávkou žiarenia. Je dôležité vedieť, že v stomatológii je doba žiarenia skutočne krátka. Napriek mimoriadne nízkym dávkam sa každé snímkovanie musí vykonávať v súlade so zdravotníckymi normami. Na ochranu pacienta treba používať ochrannú vestu z olova. Zubné röntgenové snímky v každom prípade odporúča zubný lekár, takže frekvencia RTG vyšetrení je individuálna u každého pacienta. Pri dodržaní všetkých pravidiel ide o bezpečnú diagnostickú metódu, ktorá v súčasnosti v medicíne nemá za seba žiadnu vhodnú alternatívu.