Dentálna hygienička.
Pre mnohých to znie príjemnejšie ako zubár. Ale čo si má vlastne človek pod týmto názvom predstaviť? Nie je to len iný názov pre zubnú lekárku? A kedy je potrebné ju navštíviť? Čo vlastne robí?
Ak aj vám víria v hlave podobné otázky, teraz môžete odhaliť, kto tá dentálna hygienička vlastne je. Poďte nakuknúť za dvere jej ordinácie a pozrieť sa, čo vás tam čaká.
Kto je dentálna hygienička (a treba sa jej báť)?
Na rozdiel od zubára u nej nenájdete zubnú vŕtačku ani vám nepomôže s vážnejšími problémami s chrupom. Práve naopak. Vďaka jej starostlivosti sa vyhnete všetkým bolestivým úkonom a zubára budete navštevovať iba raz za čas kvôli preventívnej prehliadke.
Ak si doprajete návštevu dentálnej hygieny, odídete s viditeľne krajším, čistejším a zdravším úsmevom. Okrem toho sa naučíte, ako sa presne starať o svoj chrup, ktorá zubná kefka je pre vás najlepšia a na aké pomôcky by ste nemali zabúdať, aby vaše zuby zostali zdravé po celý život.
To znie priam lákavo, však?
Toto vás čaká na bežnej návšteve:
Zvyčajne mávame strach z toho, čo nepoznáme. Aby ste na dentálnu hygienu nemuseli ísť s malou dušičkou a zovretým hrdlom, povieme si, čo na takej bežnej návšteve môžete čakať.
Väčšinou prvou a najčastejšou otázkou neznalých pacientov býva: “A bude to bolieť?” Nie, normálne dentálna hygiena nebolí. Samozrejme, že ak prídete s vážnejším problémom, ako sú odhalené zubné krčky alebo zápal ďasien, môže vás ošetrenie trochu bolieť. Preto návštevu neodkladajte a nečkajte, kým bude neskoro.
Na začiatku sa s dentálnou hygieničkou či hygienikom pravdepodobne porozprávate o tom, ako sa staráte o svoje zuby. Pozrie sa, ako na tom ste, a poradí vám. Zistíte, s čím máte problémy, ako ich liečiť a ako sa im v budúcnosti vyhnúť - najmä zubnému povlaku a kameňu.

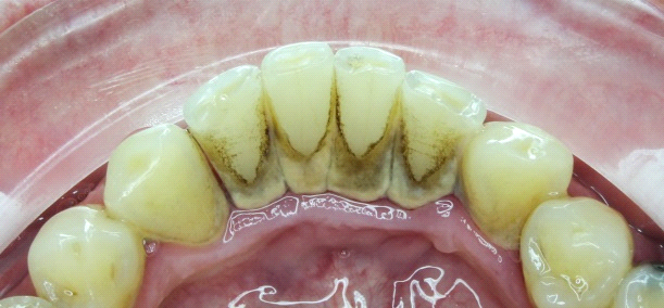
Dentálna hygienička sa potom pustí do čistenia vášho úsmevu. Pomocou ultrazvuku odstráni zubný kameň, ktorý vzniká mineralizovaním zubného povlaku a časom sa môže zmeniť na zubný kaz. Celý proces funguje tak, že ultrazvuk naruší priľnavosť zubného kameňa a ten odpadne. Ak je potrebné odstrániť ho mechanicky, použijú sa škrabky alebo kyrety.
Zubný kameň sa však nenachádza len na zuboch, ale aj pod ďasnom. Síce ho nevidno, ale to neznamená, že nie je škodlivý. Práve naopak, môže narobiť veľa škody! Na dentálnej hygiene sa ho ľahko zbavíte napríklad pomocou laseru.
Na odstránenie povlaku a zafarbenia (napr. z kávy, cigariet, jedál…) použije dentálna hygienička kefky, leštiace pasty či “air flow”. Tento prístroj (po slovensky “pieskovač”) krásne vyleští a vyčistí vaše zuby prúdom vzduchu, vody a jemného prášku.

Na záver vaša zubná sklovina dostane dávku výživy v podobe fluoridu. Vďaka fluoridácii budú vaše zuby odolnejšie, menej citlivé a vy budete mať svieži pocit v ústach. Za týmto procesom nehľadajte nič zložité ani bolestivé. Na ošetrenie zubnej skloviny fluoridom sa používajú roztoky, laky alebo gély.
Myslíte si, že sa o svoje zuby staráte správne?
Veľa ľudí na návšteve dentálnej hygieničky zistí, že si doteraz zuby nečistili tak, ako by bolo treba. Každý z nás má totiž iný chrup, inú veľkosť zubov a medzizubných priestorov, iné návyky… A čo platí u jedného, nemusí platiť u druhého.
Na dentálnej hygiene dostanete presný návod, ako sa starať práve o váš jedinečný úsmev. Je pre vás vhodná mäkšia alebo tvrdšia kefka? Akú veľkosť medzizubnej kefky by ste mali používať? A ktorá zubná pasta je najlepšia na vaše problémy?
Okrem toho sa naučíte správnu techniku pri čistení zubnou a medzizubnou kefkou či dentálnou niťou. Len správne každodenné čistenie vám totiž zabezpečí zdravé zuby po celý život, a preto ho netreba podceňovať.
Túžite po žiarivom úsmeve?

Najbezpečnejším a najefektívnejším spôsobom, ako získať žiarivo biely úsmev, je nechať to na odborníka. Domáce bieliace kúry totiž nie sú také účinné, ako bielenie zubov v ambulancii.
Aké sú teda výhody ambulantného bielenia?
Celý proces netrvá dlho a výsledok je okamžitý a očividný. Krásny úsmev vám v tomto prípade vydrží omnoho dlhšie ako pri domácom bielení. A samozrejme, nemáte sa čoho báť, zákrok prebieha pod dohľadom odborníka a je teda úplne bezpečný.
Aj pre deti, tehotné ženy a tých, čo sa boja zubára
Aby sme si udržali zuby v skvelej kondícii celé roky, je dobré navštevovať dentálnu hygieničku 2x za rok. Najlepšie je ísť najskôr na prehliadku k zubnému lekárovi, ktorí vás potom pošle na dentálnu hygienu.
Ak vám ale pri pomyslení na zubárske kreslo naskakuje husia koža, môžete to urobiť naopak a začať s návštevou ordinácie dentálnej hygieničky. Uvidíte, že lekárov sa báť netreba a starostlivosť o zuby nebolí. A vďaka čistým zubom sa nakoniec možno zubárovi aj vyhnete.
Dobrým nápadom je tiež prísť na návštevu s malými deťmi. Pani dentálna hygienička im úplne bezbolestne vyčistí zúbky malou kefkou a vysvetlí, ako sa o ne starať doma. Poučí aj rodičov, ako by mali zúbky dočisťovať. Takáto návšteva je pre dieťa príjemná a vďaka nej sa mu zubná ambulancia nebude spájať so stresom a bolesťou, ale tam v budúcnosti bude chodiť rado.
Špeciálnu starostlivosť o svoje zuby potrebujú nastávajúce mamičky. Kvôli hormonálnym zmenám v tehotenstve môžu mať problémy s chrupom, najmä so zápalom ďasien. Dentálna hygienička sa postará o ich zdravie a tiež vysvetlí, ako sa majú v budúcnosti starať o zúbky svojho dieťaťa.
Nie je to len o krásne, ale najmä o zdraví
Pýtate sa, či sa oplatí zdvihnúť telefón a objednať sa na dentálnu hygienu? Výsledný efekt tohto ošetrenia hovorí za všetko.
Vďaka pravidelným návštevám dentálnej hygieničky výrazne znížite množstvo zubných kazov, najmä na miestach, ktoré nevidno (a kde sa objavujú najčastejšie). Nezapália sa vám ďasná a nezačnú sa kývať zuby.
Dokonca sa stalo, že naša dentálna hygienička zachránila už kývajúci sa zub. Pri dôslednom čistení sa totiž zápal vyliečil, kosť sa obnovila a zub bol opäť zdravý.
Ak sa rozhodnete investovať svoj čas a peniaze do takejto prevencie, určite sa vám to oplatí. Ušetríte nielen finančne na návštevách zubára, ktorého zákroky nebudete potrebovať, ale šetríte aj svoje zdravie. Cieľom dentálnej hygieny nie je iba pekný biely úsmev, ale najmä zdravé zuby po celý život.
Cena - dospelý 60 eur , dieťa 35 eur
Dentálna hygiena AXIS-DENT - ŠAMORÍN
OBJEDNAJTE sa ONLINE https://www.navstevalekara.sk/vyhladavanie.html?s=axisdent
Bratislavská 61/68 Šamorín BUdova JADE
Dentálna hygiena AXIS-DENT - DUNAJSKÁ STREDA
OBJEDNAJTE sa recepcia 0908 303 124
Veľkoblahovská cesta 1063/5 Budova AXIS-DENT
Dunajská Streda
Za tím z kliniky AXIS-DENT:

MUDr. Eva Hrutková
Zubná lekárka / čeľustný ortopéd
info [at] axis-dent.eu
“AXIS-DENT: Zdravé a rovné zuby po celý život”
0948 303 124
