Len 7 krokov a môžete mať rovné zuby a žiarivý úsmev. Pomôže aj Vám neviditeľný strojček na zuby.

- krok – Odpovedzte úprimne na tieto otázky: Naozaj chcem mať rovné zuby? Spôsobuje mi môj chrup ťažkosti? Čo sa po liečbe pre mňa zmení? Aký bude môj život s novým úsmevom? Dodržím pokyny lekára? Budem aparát disciplinovane nosiť? Podstúpim doživotnú udržiavaciu fázu (retenciu)? Budem mať čas chodiť na kontroly? Ak odpoviete úprimne a stále ste presvedčený, že liečba zmení Váš život čítajte ďalej a stiahnite si zdarma ebook Všetko o Invisalign.
- krok – KONZULTÁCIA s čeľustným ortopédom, ktorý má licenciu na liečbu aparátom Invisalign. Ak ste sa už rozhodli pre úsmev s rovnými zubami objednajte sa na konzultáciu. Konzultácia trvá 30 minút, počas ktorých sa dozviete aký typ aparátu je vhodný, preberie sa priebeh liečby, ukážu sa podobné prípady. Zuby sa naskenujú a vytvorí sa simulácia liečby, kde dopredu uvidíte aké môžu byť Vaše zuby po liečbe. https://www.axis-dent.eu/blog/video-o-skenovani-zubov. Na konzultáciu viete prísť do Dunajskej Stredy a do Šamorína.

- krok – VSTUPNÉ VYŠETRENIE A DEFINITÍVNY SKEN ZUBOV. Pred liečbou je potrebné dôkladné vyšetrenie. Zhotovia sa fotografie, röntgeny (OPG a TELE-RTG) a definitívny sken zubov pomocou najmodernejšieho skeneru iTERO. Všetko jednoducho a bezbolestne. Navrhne sa liečebný plán, ktorý sa hneď online pošle do Invisalignu. Následne sa objedná záväzná vizualizácia liečby vo forme videa. Vstupné vyšetrenie trvá asi 60 minút. Cena je 450 eur vyšetrenie a vizualizácia liečby, RTG 35 eur.


Aké aparáty invisalign existujú a aká je cena strojčeka? Liečba sa platí postupne na splátky.
Invisalign Comprehensive - ADULT: 3 850 eur
Invisalign Comprehensive TEEN – dieťa do 18 rokov : 3 400 eur
- krok – Konzultácia vizualizácie liečby (video) mailom - Vizualizácia liečby sa posiela emailom Vám domov. Na videu sa dajú pozrieť posuny zubov do žiadanej polohy a výsledok liečby. Nasleduje schválenie a objednanie aparátu. Pred objednaním strojčeka musíte zaplatiť zálohu. Dostanete domov faktúru a po úhrade dopredu dohodnutej čiastky sa objedná strojček.

- krok – ODOVZDANIE APARÁTU. Poučenie o spôsobe nosenia a stravovania počas aktívnej liečby.
- krok – Aktívna liečba so strojčekom Invisalign a pravidelné kontroly - Po nalepení gombíkov na zuby a odovzdaní dláh začína aktívna fáza liečby so strojčekom Invisalign. Dlahy musíte nosiť čo najviac, aby liečba prebiehala podľa plánu. Kontroly sú opakovane každé 2 - 3 mesiace. Pri odovzdaní aparátu dostanete domov určitý počet dláh. Jednu dlahu treba nosiť jeden týždeň a potom prejsť na ďalšiu. Doba nosenia má byť aspoň 20 -22 hodín denne. Čas liečby závisí od prípadu, väčšinou 1 rok - 1,5 roka.
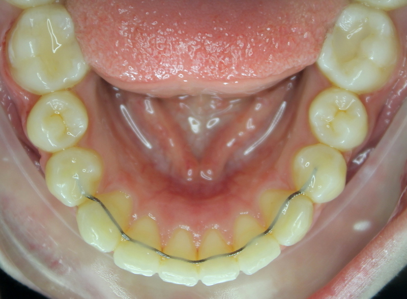
- krok - RETENCIA. Po úspešnom vyrovnaní zubov aktívna liečba zmení na udržiavaciu fázu (retenčnú). Odovzdajú sa retenčné snímateľné dlahy a podľa potreby sa nalepí tenký drôtik na vnútornú stranu zubov. Retencia nie je v cene liečby. Je podľa aktuálneho cenníka.
Na www.axis-dent.eu si stiahnite ebook zdarma Všetko o Invisalign a objednajte sa na konzultáciu.
- Do Dunajskej Stredy - telefonicky na tel. č. +421 948 303 124 - recepcia, mailom na info [at] axis-dent.eu
- Do Šamorína - online cez navstevalekara.sk, prostredníctvom https://www.navstevalekara.sk/vyhladavanie.html?s=axisdent

